奥羽牧場

業務のQ&A

最終更新日 2019/02/01
Q. 奥羽牧場では、どんな牛を何頭くらい飼っているんですか。

奥羽牧場では、肉用牛のうち「黒毛和種」と「日本短角種」の2つの和牛品種を、併せて約1,200頭(平成28年7月末現在)飼っています。このうち、繁殖用の成雌牛は黒毛和種約320頭、日本短角種約80頭、肥育牛は黒毛和種約500頭です。
「黒毛和種」は、国内の和牛の中で最も頭数の多い品種で、全国で飼われていて、和牛の中では体は小さめですが、肉質(特に脂肪交雑)が非常に優れています。

黒毛和種

「日本短角種」は、北東北(きたとうほく)原産で、この地域と北海道を中心に飼われていますが、頭数が減ってきています。この牛は、放牧適性に優れ、体が大きいのが特徴です。肉質に関しては、黒毛和種より脂肪交雑が少なく、ヘルシーな赤身肉として好評を得ています。

日本短角種

Q. 牛の改良とは、どのようにやるんですか。

牛の改良とは、肉用牛では増体、産肉量、肉質など、乳用牛では乳量などの遺伝的能力の高い牛を作り出し、増やすことです。
そのためには、雄牛、雌牛それぞれから能力の高い牛を選び出し(選抜)、選ばれた雄牛と雌牛を交配して子牛を生産します。さらに、この子牛を選抜して能力の高い牛を残し、交配します。これを繰り返すことにより次第に能力の高い牛が増えていきます。
肉用牛では、増体、産肉性、繁殖性などの能力が重要です。能力を調べる方法には、増体や繁殖性などのように、その牛自身の成績から調べる方法と、産肉性のようにその牛の子牛の成績から推定する方法とがあります。
なお、改良を進める場合、始める段階で、改良したい形質を決め、どれくらいの期間で、どの程度向上させるか、などの「目標」を明確に定めることが重要です。

Q. クローンは、遺伝子操作をしているのですか。

多くの人が混同されていますが、クローンは、体細胞クローンでも受精卵クローンでも、核移植を行いますが、全く遺伝子操作は行っていません。

Q. 国産牛って、和牛ですか。

国産牛とは、国内で生産された牛全般をいい、和牛だけではなく、国内で生産された牛であれば、乳牛や肉牛と乳牛を交配した交雑種、外国種(アンガス種やヘレフォード種など)も含みます。また、輸入された外国産の牛も、外国より国内での飼育期間が長ければ「国産牛」と表示できます。平成20年度に国内で出荷・格付けされた牛肉の内訳は、和牛が42%、乳牛が30%、交雑種が25%となっています。

Q. 牛肉の良い、悪いはどうやって見分けるんですか。

現在、流通するときの肉質の判定は、(社)日本食肉格付協会の「格付」によって行われています。(用語解説の「格付(かくつけ)」の項参照)
肉の味(おいしさ)については、今の段階で明確な判定基準はありませんが、オレイン酸含量と風味の関係など、様々な研究が行われています。家畜改良センターでは、肉の味や食感で肉質を判定する基準作りに取り組んでいます。

BMSモデル

Q. 牛肉はなぜ高いんですか。

肉牛は、普通、1年に1頭しか子牛を産まない(豚は1年に2回で20数頭産む)うえに、体が大きいため広い施設で飼養し、肉になるまでの期間も生まれてから約30ヶ月(約2年半)(豚は約6ヶ月)程度かかり、多くの餌が必要です。また、よりおいしい牛肉を作るには時間と技術が必要で、経費がかかります。このように、生産される子牛の数が少なく増殖が容易でないこと、繁殖・肥育の生産期間が長く、餌代や人件費、施設費が多く必要となること等の需給・コストの理由から、価格が高くなる傾向にあります。

Q. 生きたままでも肉質などはわかりますか。

超音波肉質診断装置(スーパーアイミートなど)で、脂肪交雑の程度やロース面積などをある程度判定することができます。
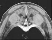
家畜改良センターの本所(福島県西郷村)には、試験的な機械ですが、大型の「牛用のX線CT装置」があり、牛を立たせたままで生体の断面写真を撮影し、筋肉量等を知ることができます。なお、2005年に開催された愛知万博(愛・地球博)に展示された「ユカギルマンモス(約1万年前頃に絶滅したとされるケナガマンモスで、ロシアのユカギル村の氷河から発見された。)」の頭部を、2004年12月にこの装置で撮影した結果、頭部の骨格をはじめ、顔面の筋肉組織や頭蓋骨内部の脳組織の存在などが明らかとなるとともに、三次元化した画像から計測された脳の体積は、現存のアジアゾウとほぼ同じことがわかりました。

超音波診断画像

CT画像

Q. 奥羽牧場では、牛の糞尿はどう処理しているんですか。

牛の糞尿は、適正に管理・処理して環境汚染を起こさないようにする必要があります。
牛舎内では、床に敷料(質の悪い牧草やオガクズ)を敷いており、糞尿はそれと一緒に堆肥舎に搬出し、機械で切り返して発酵させ、完熟堆肥にしてから牧草地に散布しています。この方法で汚水はほとんど出ません。

堆肥発酵処理装置

Q. 奥羽牧場では、牧草はどんなものを作っていますか。

乾牧草やサイレージ用は、オーチャードグラス、チモシー、イタリアンライグラス、ペレニアルライグラスなどの寒地型牧草です。放牧地では、この他、メドウフェスク、ケンタッキーブルーグラス、クローバーなども作っています。

オーチャードグラス

チモシー

Q. 奥羽牧場では、収穫した牧草はどのように保管するんですか。

水分18%以下まで牧草地で乾燥させた乾牧草は、ロールベールにして、乾草舎に積み上げて保管します。水分の多い牧草は、ロールベールにした後、ラップフィルムで巻き、サイレージにします。ラップしたロールベール(ラップサイレージ)は、雨の影響を受けないので、野外に置くことができます。ただ、露地ではカラスが穴を開けるなどの被害が出ますので、注意や対策が必要です。

乾牧草

ラップサイレージ

Q. 奥羽牧場では、ロールベールをどうやって牛に給与するんですか。

奥羽牧場では、ロールベールカッターという機械で、10数センチに切断して、飼槽に入れて給与する場合と、トラクターやホイルローダーで草架という枠にそのまま1個を入れて、直接食べさせる場合があります。草架の場合は、牛が引き出して踏みつけるなど、多くのロスが発生する欠点があります。切断して給与する場合、強い牛がたくさん食べてしまわないように、スタンチョンなどを使うと有効です。

ロールベール草架給与

ロールベール切断給与